保山市中医医院骨二科位于门诊综合楼五楼。2012年被确定为十二五国家重点中医专科培育项目。科室现有医护人员23名,其中高职3名,中职1名,初职19人,开放病床40张,每年门诊量约1万余人次,住院量1300余人次。科室主诊:脊柱、四肢、创伤和各类骨病,以中西医结合方法治疗为主导,并运用中医正骨理论与西医手术治疗相结合为治疗特色,经过多年临床经验,拥有一套完整的中西医结合治疗骨病及创伤疾病的标准化治疗方案。目前科室还开展了多项现代骨科治疗技术:在我省首先开展陶瓷棒微创手术治疗股骨头坏死;在我市首先开展关节镜微创手术诊治膝关节疾病;在我院首先开展脊柱内固定手术、髋关节置换手术、膝关节置换、椎体成形手术(PKP手术)、PFNA手术、椎间孔镜微创治疗腰椎间盘突出症、弹性髓内针治疗小儿四肢骨折等手术。
一、脊柱方面
1、开展了从颈椎、胸椎、腰骶椎的椎弓根钉内固定和微创手术。

2、开展了椎体压缩性骨折的微创椎体成形(PKP)手术。

3、开展了椎间孔镜微创治疗腰椎间盘突出症手术。

4、腰椎间盘摘除椎间融合器椎体融合(cage)手术。
5、颈腰椎间盘突出臭氧射频消融手术。
二、关节方面
1、开展了膝关节镜下微创治疗膝关节交叉韧带损伤重建手术、半月板损伤修补成形手术、髁间隆突骨折镜下内固定手术、滑膜切除、游离体取出手术等。
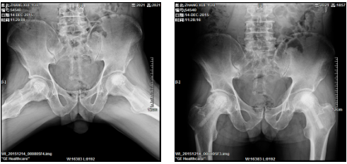
2、髋关节全髋、半髋置换手术、膝关节表面置换手术、关节融合手术。

三、创伤修复方面
1、VSD负压吸引治疗复杂性四肢创伤软组织缺损。

2、外固定架治疗四肢骨折。

3、复杂性关节内骨折的内固定手术。

4、股骨上段骨折微创内固定手术(PFNA)。

5、骨盆骨折切开复位内固定手术。

6、四肢骨折的复位内固定术。
7、带线铆钉治疗骨折和韧带修复手术。
四、创新方面
1、在医院领导的大力支持下,和上海贝奥路生物材料学有限责任公司卢建熙教授(法国医学科学家、上海市六院骨科教授)合作,成功在全省率先开展陶瓷棒微创技术治疗股骨头无菌性坏死的创新技术得到了市科技局和社会的认可。

2、科室自行研发伤科消肿止痛液在消除创伤后的肢体肿胀疼痛的消除效果好,起效快 ,能显著缓解患者疼痛,减少并发症。并获得市科技立项项目。

科室人员:

王恩斌:科室主任 主任医师
1995年毕业于昆明医学院临床医疗系,大学本科,医学学士学位;从事骨伤科临床工作22年,对骨伤疾病有丰富的临床教学经验。保山市中医医院第二届名医,兼任保山中医药专科学校副教授,云南省骨伤学会委员,云南省医师学会老年重症分会委员,云南省运动医学会委员,云南省创伤医学会委员,保山市骨科分会副组委。先后到北京、上海、南京、河南、昆明等三级甲等医院进修学习,先后发表国家级论文10余篇,有2项科研获得市科技进步三等奖。
技术专长:髋关节置换、膝关节置换、脊柱内固定、关节镜微创技术。

苏明华:副主任医师
1998年毕业于云南中医学院中医学专业,大学本科,医学学士学位;从事骨科临床工作19年。分别到昆明43医院、北京309医院、张家港等三级甲等医院进修学习,熟练掌握脊柱、关节、四肢骨折手术以及关节镜微创手术,率先在我院开展椎间孔镜、颈椎间盘臭氧治疗等脊柱微创治疗。擅长中西医结合治疗颈椎、腰椎间盘突出,四肢骨折及骨病治疗;先后发表国家级论文8篇,有2项科研获得市科技进步三等奖。
擅长中西医结合治疗颈椎、腰椎间盘突出、四肢骨折及骨病治疗,椎间孔镜手术治疗腰椎间盘突出症。

任定宝:主治医师
毕业于云南中医药学院,中医骨伤科学专业,大学本科,学士学位。曾在昆明医科大学附属第二人民医院、广东省佛山市中医院进修学习。善长骨科创伤,骨关节疾病等。毕业后一直从事骨科临床工作。曾先后发表国家级论文4篇。

申云杰:主治医师
毕业于湖北中医药大学,中医骨伤科学专业,大学本科,医学学士学位。曾在湖北省中医院实习轮转。曾在湖北华中科技大学同济医学院附属协和医院进修学习;善长骨科创伤,骨关节疾病等。毕业后一直从事骨科临床工作。曾先后发表国家级论文2篇。

杨仕成:住院医师
2012年毕业于云南中医学院中医学专业,本科学历,医学学士学位。曾多次到昆明参加创伤骨科学术研讨会;毕业后一直从事骨伤临床工作。曾先后发表国家级论文2篇。

杨仕德 :住院医师
2013年毕业于昆明医科大学,临床医学系,本科学历,曾在昆明医科大学第一附属医院实习一年,曾多次到昆明参加运动医学学术研讨会;毕业后一直从事骨科专业。曾先后发表国家级论文2篇。
服务理念:恢复您的健康是我们最大的心愿
科室电话:医生办公室:08752162867
护士办公室:08752165097

中医、中西医结合诊断治疗咳嗽病、消渴病、高血压病、冠心病、老年病等疾病,对内科常见病、多发病的诊断治疗准确有效,对内科危、急、重症诊断治疗较有心得。坚持以患者需求为导向,以精湛技术为基础,以优质服务为载体,全心全意为病人服务。

治疗痔病,尤其是治疗环状混合痔、嵌顿痔等重度痔疮;高位、低位、复杂性肛痔;马蹄形、高位、复发及难治性肛周脓肿;不同程度肛裂;熟练开展RPH(自动痔疮套扎器套扎术);手术治疗直肠息肉、肛乳头瘤;中西医结合治疗顽固性肛周瘙痒及肛周湿疹;中药内服加保留灌肠治疗结、直肠炎;习惯性和出口梗阻性便秘的治疗;及肛门失败手术或手术后遗症的补救治疗。

不孕症;先兆流产、习惯性流产的保胎治疗;月经不调、痛经、闭经、子宫内膜异位症、功血、子宫内膜增生、子宫内膜息肉等;白带异常、阴道炎、宫颈炎、盆腔炎、附件炎等。

中医内科、妇科、儿科、骨伤科疾病诊治,尤其在肿瘤、癫痫、甲亢、中风、呃逆、慢性胃病、骨折损伤、风湿、骨质增生、颈腰椎病、乳腺增生、附件囊肿、小儿咳喘、腹泻等疑难病方面积累了丰富经验。